患者さんの声
![]() 2017年8月 75歳男性 |
![]() |
前立腺癌,82Gy/41回 少々不安はありましたが、スタッフ全員の対応に励まされて終えることができました。 CTから「ベッドが動きます」と・・・(つづきを読む) |
|
|
||
![]() 2017年7月 76歳男性 |
![]() |
前立腺癌,82Gy/41回 年のせいか頻尿で、市販薬でもと思っていたところ、妻から近所の医者を勧められて血液検査でビックリ、すぐ・・・(つづきを読む) |
|
|
||
![]() 2017年9月 36歳女性 |
![]() |
左乳がん術後照射乳がん術後照射,66Gy/33回 大きな機械をまじまじと見ていたら、それに気付いた技師の方が機械の説明をしてくれました。機械的な対応にならず、私の意図をくみ取っていただいたので嬉しかった・・・(つづきを読む) |
|
|
||
![]() 2017年8月 53歳女性 |
![]() |
右乳がん術後照射乳がん術後照射,66Gy/33回 放射線治療は33回もあり、猛暑の中通院はきつかったですが、同じ患者さん同士で励まし合ったり、愚痴を言い合うことで私自身大きく助けられたと感じ・・・(つづきを読む) |
|
|
||
![]() 2017年10月 79歳男性 |
![]() |
前立腺癌胸椎骨転移,36Gy/12回 患者さんの感想:親切・丁寧・ハイレベルの対応で・・・(つづきを読む) |
|
|
||
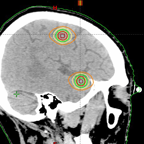
![]() 2017年11月 71歳男性 |
![]() |
肺癌脳転移(2カ所),20Gy/1回 患者さんの感想:こんなに安心して治療が受けられるとは驚きでした。 武田先生の落ち着いた自信あふれる安心対応にホッとしました。看護師の皆様の気遣い、やさしい対応で、技師の皆様の自信に満ちた対応でした・・・(つづきを読む) |
|
|
||
![]() 2017年10月 60歳女性 |
![]() |
右乳がん術後照射乳がん術後照射,50Gy/25回 患者さんの感想:暑い毎日で、25回の通院で大変だな~と思いましたが、決められた予約の時間ではなく、自分の都合に合わせて通院できたことが良かったです。毎日大体同じ時間に・・・(つづきを読む) |
|
|
||
![]() 2017年10月 71歳男性 |
![]() |
肝細胞がん体幹部定位放射線治療,40Gy/5回(70%isodose) 患者さんの感想:今回、三度目となる再発の診断を受けました。今まで、ラジオ波焼灼療法、カテーテル(血管塞栓)療法を受けてきました。いずれも、それなりの苦痛を・・・(つづきを読む) |
|
|
||
![]() 2017年10月 71歳女性 |
![]() |
右乳がん術後照射乳がん術後照射,50Gy/25回 患者さんの感想:病気の告知を受けて一人深刻に思い悩む日もありましたが、放射線科での治療が始まってからは毎日同じ時間帯に顔を合わせる人達と挨拶を交わし、会話をすることで気持ちがだんだん・・・(つづきを読む) |
|
|
||
![]() 2017年10月 77歳女性 |
![]() |
肝細胞がん肺転移体幹部定位放射線治療,50Gy/5回(60%isodose) 患者さんの感想:放射線治療がこんなに楽で何の痛みも苦しみもなく、これでガンをやっつけてもらえると思うと嬉しくて1日1日が楽しくなりました。朝は病室で仲良くなったみんなで・・・(つづきを読む) |
|
|
||
![]() 2017年10月 66歳女性 |
![]() |
左乳がん術後照射乳がん術後照射,50Gy/25回 患者さんの感想:納得して放射線治療を受診することができました。事前の説明は大変参考になり不安が解消されました。最初CTを撮った時が一番不安でしたが、技師の方達の緊張をほぐしてくれながらの対応でほっとした・・・(つづきを読む) |
|
|
||
![]() 2017年10月 45歳女性 |
![]() |
右乳がん術後照射乳がん術後照射,66Gy/33回 患者さんの感想:毎日患部を見せなくてはならないことでの羞恥心やストレスがありました。男性の技師さんのさりげない配慮や女性の技師さんが1人居て下さるだけで、後半はストレスもなく治療を受けることができ・・・(つづきを読む) |
|
|
||
![]() 2017年10月 70歳女性 |
![]() |
右乳がん術後照射乳がん術後照射,50Gy/25回 患者さんの感想:手術、又術後も何事もなかった様に生活をしています。気持ちを前向きにもち、往復2時間の通院で車を運転し、好きな音楽を聴き、コーヒーを飲みながら無事に25回の放射線治療を完了・・・(つづきを読む) |
|
|
||
![]() 2017年10月 51歳女性 |
![]() |
右乳がん術後照射乳がん術後照射,50Gy/25回 患者さんの感想:放射線治療を受けるにあたり事前の説明をきちんとわかりやすく丁寧にして頂き、看護師さん・医師・技師の先生方、受付の方も一方的にならず、私のペースに合わせ寄り添って話を聴いて頂け・・・(つづきを読む) |



























