科学技術の発展により、放射線治療は飛躍的に進歩しています。様々な照射技術が考案され、それぞれが年々より精緻なものに改良されています。また現在では患者さんに対して1つの照射技術で治療を行うのではなく、複数の技術を組み合わせて治療を行います。
できることが多くなった分、治療装置の性能を引き出すためには、治療に携わるスタッフ自身の技術力が何よりも重要になります。ここでは、最善の治療を提供するために、わたしたちが究めている照射技術を紹介します。
固定ビームを複数照射するIMRT(強度変調放射線治療)の発展型で、治療装置を回転させながら照射する範囲や強さをめまぐるしく変化させる照射法です。これまでのIMRTよりも非常に精密な治療が可能でありながら短時間で治療が行えます。これらの長所を生かすことで、副作用を抑えつつ腫瘍に集中的に照射することが可能になります。
日本の放射線治療は、医師が治療方針を決定し、照射計画を作成する場合がほとんどです。そのため照射計画作成までに時間がかかり、治療の開始が遅れがちになります。
当放射線治療センターでは、物理士が医師の治療方針を聞き、患者さんに合わせた照射計画を複数個作成します。様々な治療計画のなかからベストと考えられる治療計画を医師と一緒に選択しています。医師は正確に患者さんの状態を把握する、物理士は治療計画の立案、診療放射線技師は正確に腫瘍に放射線を照射する、各々がそれぞれの役割を正確に行うことで、迅速に治療に取り掛かることが可能になります。それが私たち放射線治療センターの技術であり、特色のひとつだと考えています。
物理士:奥 洋平
照射範囲の中で、強く照射する部分と弱く照射する部分を”あてわける”技術です。VMATを用いた高度な照射技術のひとつで、照射量に強弱をつけることで、治療効果の向上と副作用の軽減を図ります。
腫瘍は身体の中にあり外からは見えません。IGRTはその状況でも正確に照射するための、”狙いを定める”照射技術です。わたしたちは毎回の治療のたびにさまざまな方法で腫瘍と周囲臓器の位置関係を確認し、正確に照射をしています。
Stereotactic body radiotherapy using volumetric modulated arc therapy delivery
上述の照射技術をすべて駆使して、一度に大量の放射線を腫瘍にピンポイントにあてる技術です。適応疾患では高い治療効果を望めます。わたしたちは線量集中性を格段に高める照射法を提唱し、多くの 実績 を積んできました。 体幹部定位放射線治療に関して、YouTube 2018年12月市民公開講座「がんのピンポイント放射線治療の最先端」 でも解説しています。
前立腺がん に対する強力な照射技術のひとつです。前立腺内に埋め込んだ線源から集中的に放射線を照射します。術中は、超音波検査装置で前立腺を常に監視し、熟練の泌尿器科医とともに線源を最適な形で配置します。
体内に埋めた放射線源から集中的に放射線をあてます。
私たち放射線技師は、医師の治療計画をもとに、手術前の放射線源の発注や管理、手術中のX線透視装置を用いた画像支援、手術後の放射線安全管理などを行っています。
また、退院前の安全確認のため、患者様の体内からの放射線の量を測定し、規定値内であるかを確認します。
不安に思われる患者様もおられますが、ご説明させていただき少しでも不安を軽減できるよう心掛けています。
放射線技師:仁科 亮平
同じ患者さんの治療でも、その施設の持つ照射技術や考え方で治療の中身が変わることがあります。
照射技術が高く、医師の経験・知識が豊富な施設の方が、治療成績が良いという学術論文が複数の癌腫で報告されています 1) 2)。わたしたちはそれを肝に銘じ、治療に取り組んでいます。
照射技術全般に関しては YouTube 2017年12月市民公開講座「わかりやすいがん放射線治療」の10:06~22:53 、体幹部定位放射線治療に関しては、 YouTube 2018年12月市民公開講座「がんのピンポイント放射線治療の最先端」 、前立腺がんの放射線治療に関しては、 各がんへのページ 前立腺がん 、 YouTube 2017年4月市民公開講座「前立腺がん~どの治療を選べばいいですか~」 でも解説しています。
左のグラフは一般的な方法(紫色点線)と当院の方法(赤色実線)とで、がん、治療範囲、周囲の正常臓器にかかる放射線量を示しています。 一般的な方法は、がんを含めた治療範囲に均一に放射線をあてるコンセプトを採用しています。一方で、当院が考案した方法3)は、周囲の正常臓器にかかる放射線量は一般的な方法と同程度に抑えつつ、がんを中心にした治療範囲には非常に高い放射線量を照射することが可能です。
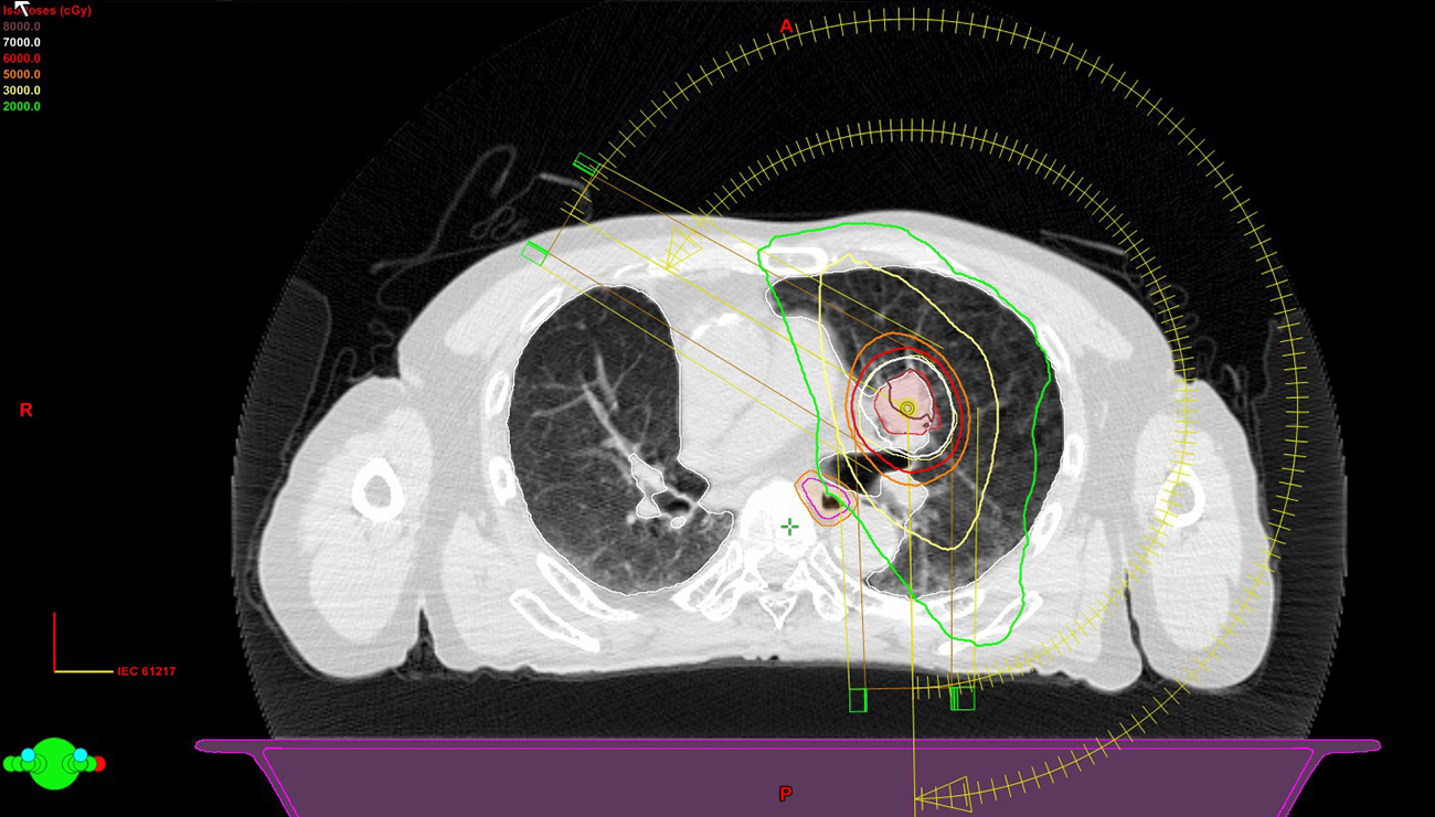
(左上)左肺に発生した肺がん、(中央上)一般的な方法, 48Gy/4回 アイソセンター処方
(右上)当院の方法, 50Gy/5回 60%辺縁処方,
図は同じ早期肺がん患者さんに対して2種類の照射技術/考え方で体幹部定位放射線治療を行った場合の体の中の放射線量の分布(20グレイ1<青>~80グレイ<赤>)をグラデーションで表しています。正常肺・がんにかかる放射線量は施設で差があることが見て取れます。
図は同じ早期肺がん患者さんに対して2種類の照射技術/考え方で体幹部定位放射線治療を行った場合の体の中の放射線量の分布を示しています。正常肺・がんにかかる放射線量は施設で差があることが見て取れます。
(左)前立腺と周囲の正常臓器、(左から2番目)3DCRT(IMRT/VMATを行えない施設):70グレイ/35回
(右から2番目)一般的なVMAT:78グレイ/39回、
(右)当院のVMAT:82グレイ/41回, SIB併用
中線量(60グレイ,青)~高線量(90グレイ,赤)照射されている範囲をグラデーションで表示。
図は同じ前立腺がん患者さんに対して3種類の照射技術/考え方で治療を行った場合の体の中の放射線量の分布を示しています。
前立腺・尿道・直腸・がんにかかる放射線量は施設で差があることが見て取れます。
1) Int J Radiat Oncol Biol Phys. 2017 ;98:511
2) Cancer. 2017;123:3933
3) Pract Radiat Oncol 2012; 2:46
患者さんになるべく不安なく治療を受けていただけるよう、人形や模型
を使って治療方法を説明しています。硬い表情で面談を始めた患者さんが、説明を受けて部屋を出るときに明るい表情になっているのを見ると、とても嬉しいです。
治療のために、食事などでお願いをすることがあります。なぜ、そうすることが必要なのかをお話しして、患者さんには、治療にベストの状態で臨んでいただけるようにサポートしています。
小さな体調の変化や医師には聞きにくいことなども是非お話しください。
患者さんとのコミュニケーションを大切にし、ベストな状態で治療に送り出すのが私たちの仕事だと考えています。
看護師:斎田 真由美