• 患者さんの声

女性 53歳

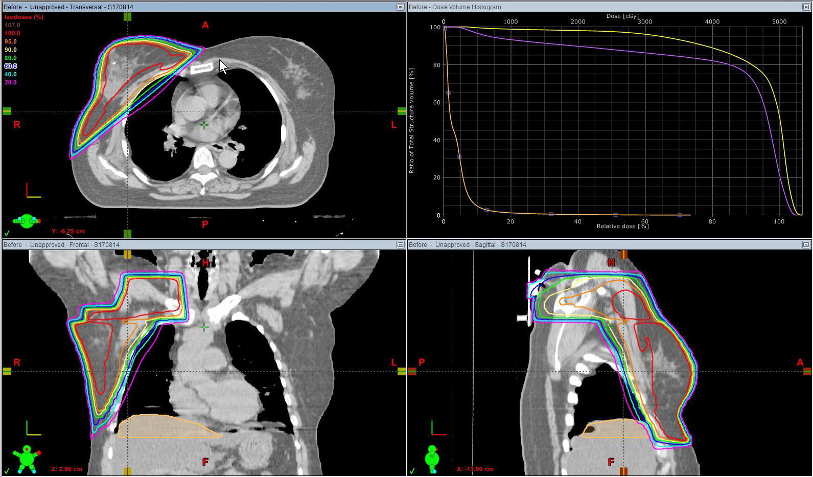
右乳がん 術後照射

66Gy/33回

線量分布図

<患者さん一問一答>

Q1:今回の病気が見つかってから放射線治療センターを受診されるまでにご苦労やお悩みがあったと思います。当時のご心境やいままでのエピソードなどお聞かせください。

患者さん『他の病院で乳がんと告げられ、全摘手術をすると診断され二重のショックでした。藁をもすがる思いで貴病院を紹介いただき、乳腺センター大渕先生が親身となり対応してくださいました。抗がん剤治療を行ない、がん細胞を小さくし、部分摘出するという手法を用い、大変難しい手術でしたが無事に終わり大変感謝しています。大船中央病院で良かった!しかし、抗がん剤治療は毛髪が抜けると分かっていましたが、実際にその副作用はやはりショックで辛かったです。また、家族の支えもあり自分の気持ちも切りかえて頑張ったことは良かったと思います。放射線治療は33回もあり、猛暑の中通院はきつかったですが、同じ患者さん同士で励まし合ったり、愚痴を言い合うことで私自身大きく助けられたと感じます。』

Q2:今まで放射線治療のことをご存じでなかったかもしれません。治療を受けて治療の印象はいかがでしょうか。また医師・看護師・技師・受付の説明や対応でお気づきの点があればお聞かせください。

患者さん『放射線治療は初めてで33回も受けることになりましたが、武田先生や看護師の丁寧かつ親身な説明があり、ある程度納得した上で治療に臨みました。治療を重ねるうちに、乳房や脇の下あたりが痛痒く寝られないときもありました。ただ、治療の前に正確に実施するために体にマーカーされましたが、消えないようにするため何度も書かれることは、夏場でもあり痒くなりなかなか辛いものでした。もう少しやさしいマーカーの仕方があればと思います。』

※放射線治療医よりコメント:マーカー用の特殊なインクでときどきかぶれる患者さんがいらっしゃいます。1度でもかゆくなれば、インクを変更しています。それでもだめならテープを使用しています。この患者さんがインクかぶれなのか放射線皮膚炎なのかは定かでありませんが、かゆみ、かぶれには細心の注意を払っています。

線量分布図

当センターでの診察について

主治医の紹介状をお持ちくださるようお願いいたします。主治医がない場合は、当センターまでお問い合わせください。
Tel:0467-48-5877
(センター直通・FAX兼用)

患者さんへ